What is “Periodontology” and what is a “Periodontist”?
Periodontology is the study of periodontal disease (“gum disease”) and is one of only 8 specialties recognized by the American Dental Association. A Periodontist is a doctor who specializes in the field of periodontology. To become a periodontist you must obtain 2-3 years of advanced training in a university-based post-graduate program. Today a periodontist not only treats gum disease, but they also are proficient in dental implantology and associated bone graft procedures, dental cosmetics, occlusal management, oral medicine, and overall case management.
Gum Disease!… What is it?
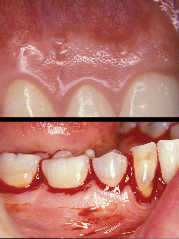
There are 2 kinds of Periodontal Disease or “Gum Disease”. The mild form is called gingivitis and the more serious and advanced form is called periodontitis.
Gingivitis:
In health, the gum forms a crevice around the neck of a tooth. When bacterial plaque has not been adequately cleaned away from this crevice, the tissue becomes infected and swells. This tissue infection is called “gingivitis”. The tissue swelling deepens the normally shallow crevice, providing a larger “niche” for more bacteria, thus more infection.

Periodontitis:

If gingivitis lingers, this infection drips down onto the bone holding in your teeth and begins to dissolve it away. This advanced disease is called “periodontitis”. As the bone disappears, a deeper crevice, known as a “pocket”, forms around the teeth. These deep pockets serve as “larger & larger nests” where more and more bugs grow, perpetuating more bone loss and eventually tooth loss.
Gum Disease Treatment
One of the primary goals of periodontal treatment is to “reduce or eliminate the pocket”. In so doing, the patient is able to clean and thus prevent the return of the disease. There are 2 basic ways to achieve this. With mild forms of the disease, one may utilize non-surgical root planning. The more serious and advanced forms of disease require
surgical care.
Non-surgical Root Planing:
Mild forms of gum disease (gingivitis & early periodontitis) may be treatable by root planing. In root planing, the gums around the teeth are numbed and the infected root, under the gum line, is scaled & planed smooth, removing calculus, tartar, and plaque. In succeeding weeks, the tissues undergo a healing process and attach back to the tooth. In mild cases this process reduces the pocket depth to that of health, allowing the patient to effectively clean and maintain
their gums.

Surgical Care:
In areas that do not respond favorably to non-surgical treatment, surgical care is required. This can be done by
1) reducing redundant tissue on the top of the pocket or 2) building back lost bone with bone grafting.

Reducing Redundant Tissue:
With tissue reduction, the gums are numbed, the tissues are gently lifted and any bone irregularities that contribute to the pocketing are smoothed. The tissues are then refitted in such a way as to restore “gum” health. One of our patients referred to this as a “Gummy –Tuck!” so this is the term we have adopted to describe this treatment.
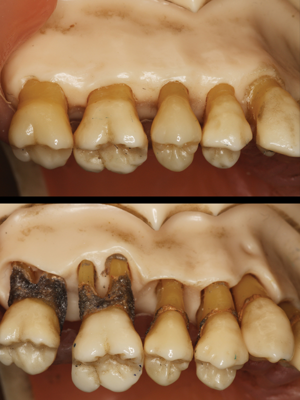
Bone Grafting (around teeth):
Another treatment for some forms advanced of periodontitis is “bone grafting”. In this procedure, graft material is gently placed in the hole around the tooth or teeth where you have lost bone, the tissues sutured back into place and the area is allowed to heal.
During this healing phase, the bone is restored underneath your gums through a process known as “remineralization”. Bone grafting, as well as other treatment options, is something you may speak with Dr. Sterrett about.

Implant Dentistry
A dental implant is a choice of treatment to replace a missing tooth or teeth. Dental implants have a remarkable success rate. There are many factors that go into the process involved in the planning and surgical placement of dental implants. Is there enough bone… is it good quality? …is it in the right place? …is it mature enough to hold
an implant?
We assess these and many more such factors before proceeding with any treatment. Dental implants are another treatment option for missing teeth you may wish to explore with Dr. Sterrett.

Bone Grafting for Implants
The amount of bone present at an implant site is a key factor in successful implant dentistry. We first assess bone volume with our in-office cone bean CT or CBCT. If the bone is not present in the desired location, then one must grow bone through a process known as “guided bone regeneration” or “GBR. There are 3 main procedures we use to induce the body to fill in areas found to be deficient in bone i.e. 1) socket grafting, 2) ridge grafting, and 3) sinus grafting.
Socket Grafting:
In socket grafting, particulates of bone are placed in a fresh extraction site and covered with a thin “tarp-like” biologic membrane. The site is left to mature, allowing for proper healing and a stronger bony foundation, prior to implant placement.


Ridge Grafting:
Ridge grafting is reserved for situations where there has been marked bone loss at the site planned for implant placement. In these cases, the patient’s own bone is harvested from an adjoining area and fixated at the planned implant site. Cadaver bone and membrane material are also added to enhance healing. Implant placement is performed after bone maturation is complete.
Sinus Lift:
A sinus graft is used when there is insufficient bone above the upper molars due to the proximity of the maxillary sinus cavity. In these situations, a small window or opening is made on the side of the sinus and a bone graft is placed to enhance bone height.

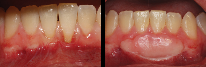
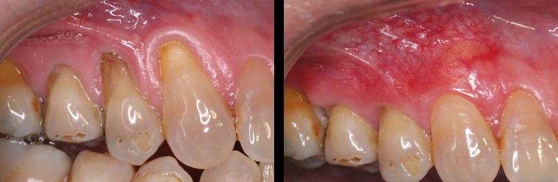
Tissue Grafting (Gum Grafting)
At times tissue (gum) around the teeth can strip away. This stripping process is called “recession”. Once a recession begins, it tends to progress with time. A recession can jeopardize the retention of your teeth and in certain situations cause a cosmetic problem. There is a treatment option for each of these issues. A i) Gingival Graft focuses on
functional issues while an ii) Connective Tissue Graft focuses on cosmetic issues.
Gingival Graft:
The conventional treatment for recession is the Gingival Graft. The procedure is designed to enhance and reinforce thinning tissue with more durable or …”beefy” gingiva.


Connective Tissue Grafts:
In certain situations, gingival recession can cause a cosmetic problem. The procedure of choice for cases like this is the Connective Tissue Graft. This procedure not only “beefs up” the supporting tissues around a tooth but has the added benefit of cosmetic root coverage.
Cosmetic Care
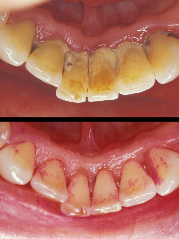
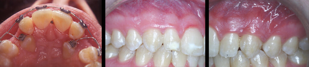
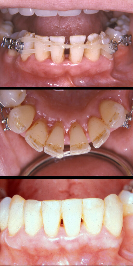
Gummy Smile
A “Gummy Smile” is a condition in which there appears to be too much gum showing when smiling and teeth that look “too short”. This is known as Altered Passive Eruption. A gummy smile is quite unsightly and can be embarrassing because it looks like you have “baby teeth”.

In most cases the condition can be easily treated in one visit by “sculpturing and reshaping” the soft tissue around the involved teeth, revealing more of your natural tooth that has been “hiding” underneath.
As one can see in the following cases, treatment can yield a dazzling result, leaving our patients with “something to smile about”!
Other Periodontal Procedures
Impacted Teeth:
As children grow, the erupting permanent teeth push out the overlying baby tooth. When permanent teeth fail to come in, they are termed …impacted. This occurs with upper canines as well as other teeth. In these situations, a periodontist may be asked to surgically expose the tooth and attach a chain so that an orthodontist can actively
engage the tooth, assisting it in a successful erupt.


Crown Lengthening:
If your tooth is decayed or broken …“below the gum line”, your doctor may refer you to us for crown lengthening. In this One Step Procedure, the surrounding tissues are placed in such a fashion as to allow your doctor to “see ALL the tooth damage”. Seeing all the damage allows them to provide you with a better fitting crown, restoring the full use of your natural tooth.

Periodontal Tooth Movement (Limited Orthodontics):
Bone loss (as a result of periodontal disease) can cause your teeth to shift. Shifting teeth can be unsightly, difficult to chew with, loose, harder to clean, and sometimes harder to restore.
Some of these situations are easily corrected with periodontal tooth movement i.e. minor orthodontics. Treatment time can take as little as 3-6 months and provide both you and your doctor with a healthy and cosmetic foundation from which to complete your restorative care.
Dr. Sterrett received comprehensive training in his graduate program on this type of therapy and he would be glad to share with you his thoughts about your case and answer any questions you may have.

Splinting Loose Teeth:
Bone loss due to gum disease can lead to mobile or …“Loose teeth”! Loose teeth can interfere with chewing, and cleaning and if not corrected can accelerate existing gum disease, resulting in tooth loss. One simple and easy way to treat loose teeth is to “splint” loose teeth to their neighbor. In this fashion loose teeth can lean on stable teeth for support, sharing the workload of chewing. As a result, the bone and tissues can recover and return to health.


Tori Removal:
Bony lumps found in various areas of the mouth are often referred to as…tori! For the most part, tori is not an oral health issue. However, they may grow to such an extent that they interfere with your eating or speech. In these situations, they can easily be removed, restoring one’s mouth to a normal state.
Oral Pathology:
Today’s dentist is an oral health care provider. As such we are heavily involved in a pre-cancer screening as a part of your overall oral examination, looking for lumps and bumps that shouldn’t be there! When something looks “unusual” they may refer you to us for further evaluation, treatment and/or tissue biopsy.
As a periodontist, we are very familiar with oral soft tissues….what looks normal …what looks like gum disease …and when something looks …unusual!” See our Treatment Gallery for some of the more common abnormalities found in the mouth.

Complex Case Treatment:
At times a patient may present with multiple dental problems and the question becomes …“where does one start?”. In those situations, a periodontist can assist in the overall treatment planning and treatment timing.
Treatment may be divided into “Stages”. Staged treatment allows time for doctors as well as the patient to understand treatment options and avoid the feeling of decisions under duress. Dr. Sterrett will consult with your family dentist and together they will outline a plan to manage your particular dental issues with their goal being to restore your teeth …your bite …your smile …and your overall oral health.

Long Term Success:
An ongoing preventative periodontal maintenance program has been shown to be a critical component of successful periodontal treatment. Without such attention to prevention, often times the gains made early on are lost. A proper maintenance program may involve 3-4 years of alternating recall visits between our office and your general dentist. Clinical studies have proven this to be a key component to keeping one’s teeth for a lifetime.